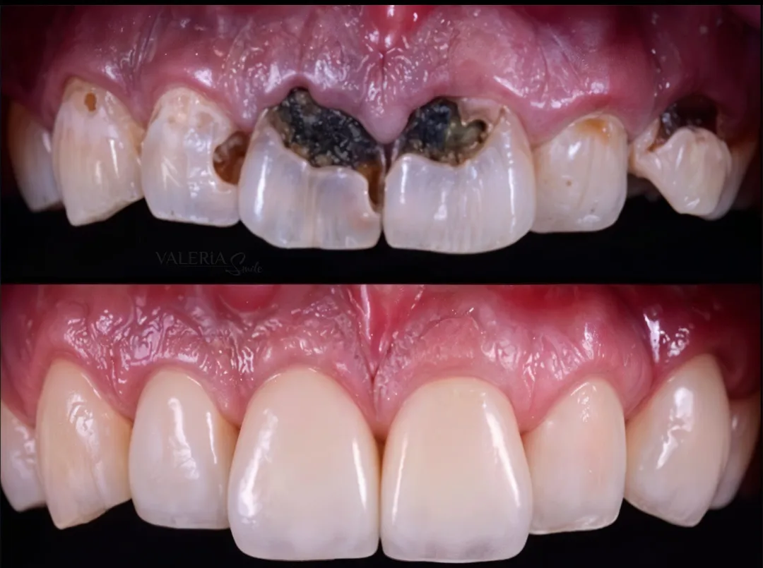
Restauraciones dentales estéticas para tratar caries, fracturas y tapaduras antiguas, cuidando la apariencia natural de tus dientes.

Dolor o sensibilidad
Mala estética dental
Mal Aliento

Eliminar el dolor
Eliminar la carie
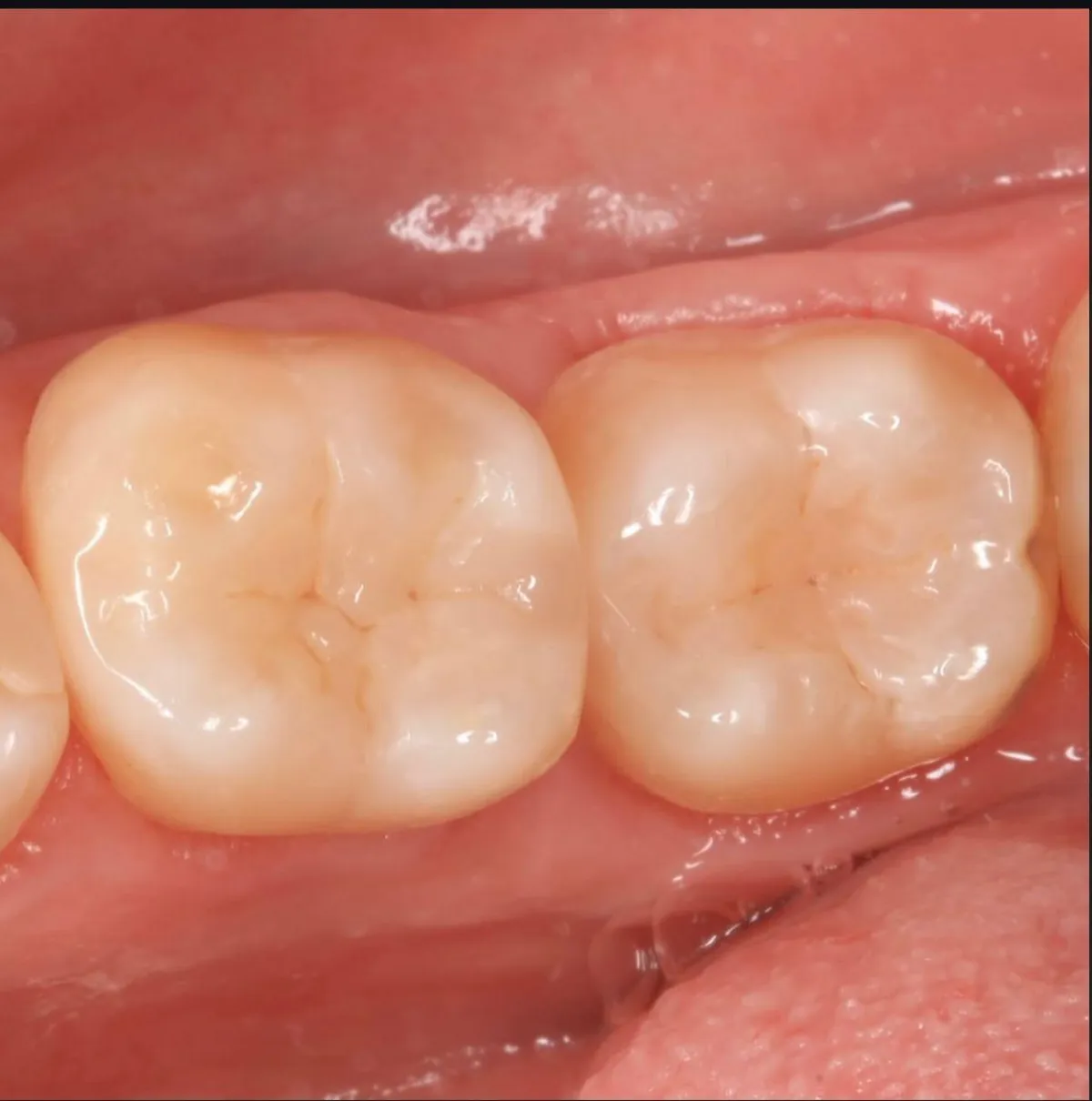
Restaurar la forma del diente
Sonrisa natural
Si el dolor aparece solo al morder o tomar algo frío, la caries ya está avanzando aunque no duela todo el día.
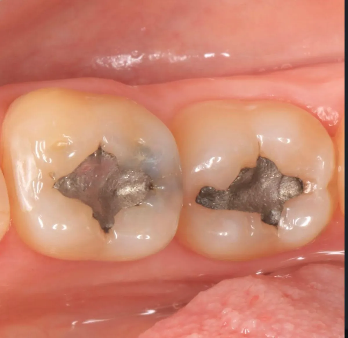
Muchas caries comienzan entre los dientes o bajo tapaduras antiguas, donde no se ven pero siguen avanzando.
Las tapaduras antiguas se desgastan y pueden filtrar bacterias, aunque no duelan todavía.
Cuando el mal aliento no desaparece con el cepillado, suele estar relacionado con caries o infecciones no tratadas.
👉 No postergues tu visita.
Una tapadura a tiempo evita tratamientos más costosos.